Latest Surgeries

Post Traumatic Carotid Cavernous Fistula ( CCF ) : Sugery - Transcarnial Transcavarnous Oclusion of Fistula

Aneurysm of the Ophthalmic Segment : Surgery - Microsurgical Clipping

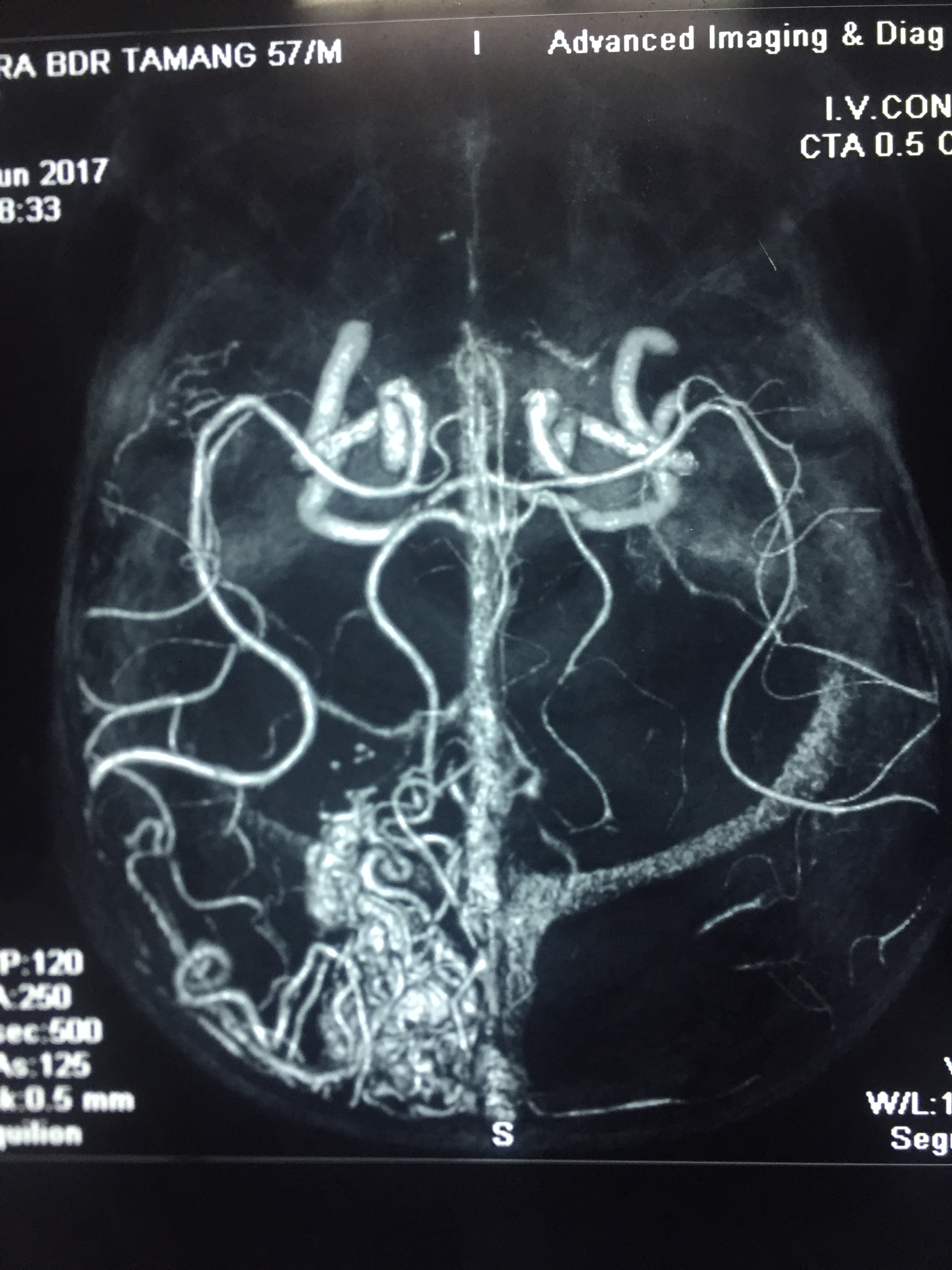
Lt. Occipital AVM : Surgery - Microsurgical excision of AVM (Lt. Occipital Grade IV AVM)

Intramedullary Spinal Tumour : Surgery- Microsurgical excision of spinal tumor

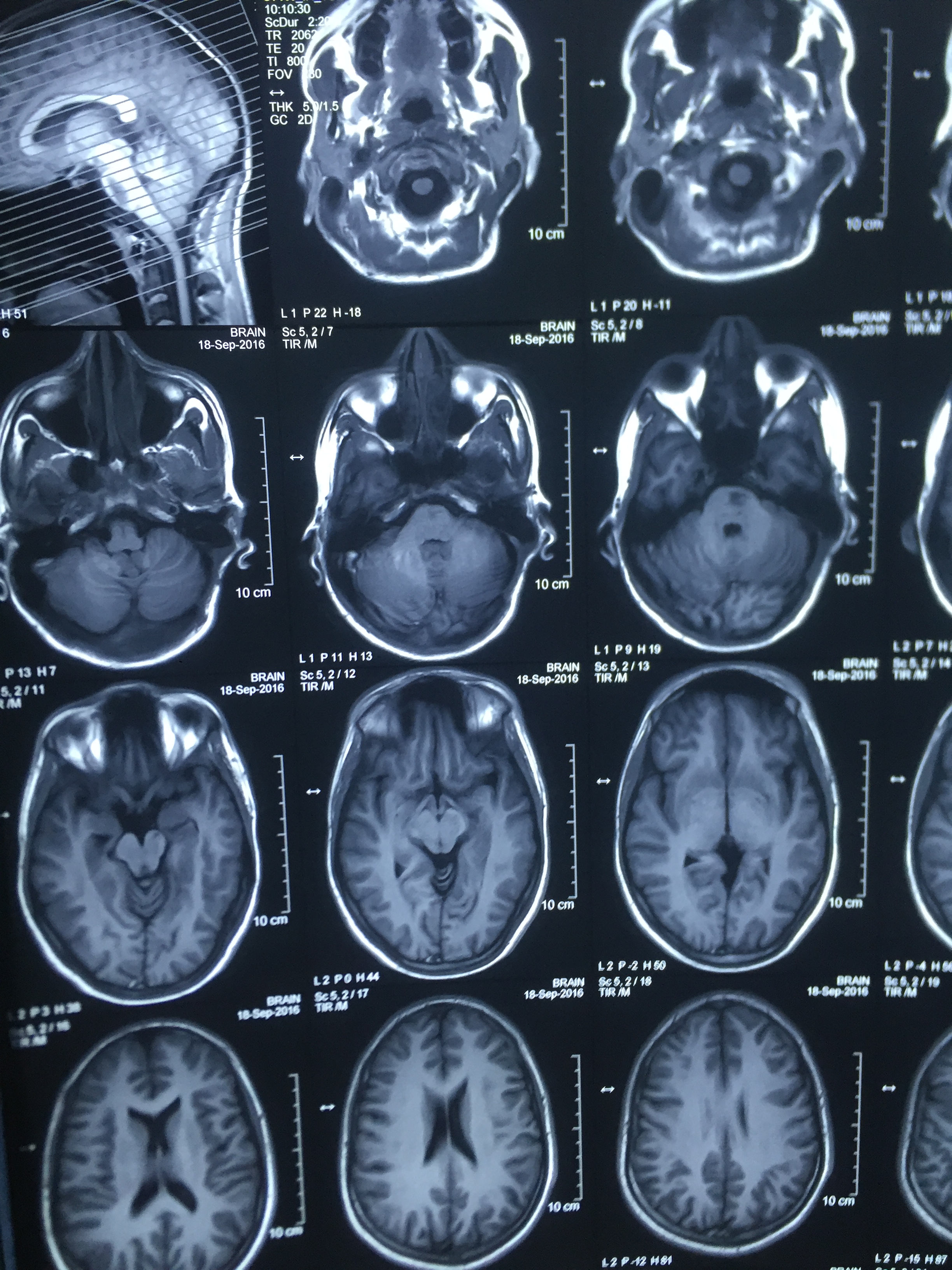
Brainstem Cavernoma : Surgery - Microsurgical excision of cavernoma

Convexity Meningioma : Surgery- Craniotomy and total excision of meningioma

Website Visitors: 223325